Главная Карта сайта
Алескеров Эльчин Шахинович

Фото и видео →

Стоматология: фото

Протезирование
безметалловой
керамикой

Протезирование
безметалловой
керамикой

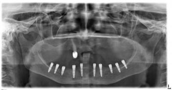
Установка 10
имплантантов на
беззубую челюсть с
помощью компьютерной
программы

Установка 10
имплантантов на
беззубую челюсть с
помощью компьютерной
программы