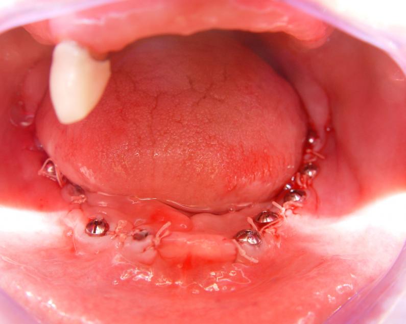
Фото →Установка 10 имплантантов на беззубую челюсть с помощью компьютерной программы: Имплантанты установлены
|
|
|
|
|
|
|
||||||
|
|
|
|
|
|
||||||
|
|
|
тел.: +7 (812) 983-66-66
Стоматологический центр Dental House |
Все материалы этого сайта являются объектами Авторского права
и охраняются Законодательством РФ Дизайн сайта - lexa.spb.ru
|
||